Главная Технологии Результаты Контакты 📞 Начать
Нового поколения

Имплантология
будущего

Специализированная клиника хирургической имплантации. Одномоментная нагрузка, GBR bone augmentation, ridge augmentation — реальные клинические кейсы.

0+ Клинических кейсов
0 Технологий
0% Вовлечённость
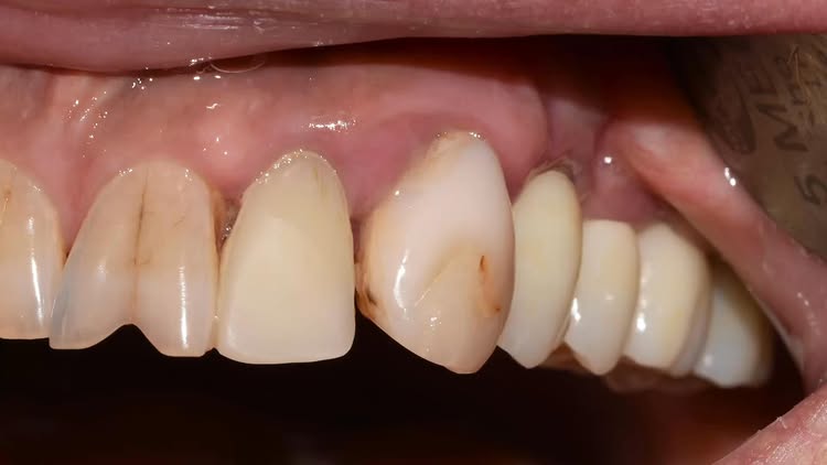
Клинический кейс имплантации Implantatas
Tech

Технологии
нового поколения

Узкая специализация на имплантологии и костной хирургии — только то, в чём мы лучшие.

Имплантация зубов
Future Tech

Имплантация зубов

Одномоментная установка имплантатов с временными коронками после удаления зубов — один визит, полный результат.

Временные коронки на имплантатах
Immediate Load

Временные коронки

Немедленная нагрузка после установки имплантатов — временные коронки в тот же день операции.

Костная пластика GBR
GBR

Костная пластика

GBR bone augmentation — направленная регенерация кости для пациентов с дефицитом костной ткани.

Аугментация гребня титановой сеткой
Ridge Aug

Аугментация гребня

Ridge augmentation titanium mesh — восстановление атрофированного альвеолярного гребня титановой сеткой.

Все технологии
О нас

Почему
Implantatas

Хирург, который показывает работу, а не рассказывает о ней.

01

Узкая специализация

Клиника занимается только имплантологией и костной хирургией — максимальная экспертиза в своей нише.

02

Одномоментная нагрузка

Установка имплантатов и временных коронок за одно посещение — немедленный результат без ожидания.

03

Сложная костная реконструкция

GBR и аугментация гребня титановой сеткой — решения для пациентов с дефицитом кости, которым отказали в других клиниках.

04

Международный уровень

Обучение у мировых лидеров имплантологии — участие в международных семинарах и конференциях.

Запись открыта

Начните лечение
сегодня

ПН-СБ: 9:00-19:00. Байтик Баатыра 17/2, г. Бишкек.